Дегенеративные изменения поджелудочной железы у женщин представляют собой процессы, связанные с нарушением структуры и функции этого органа, что может быть обусловлено возрастными факторами, обменными нарушениями или хроническими заболеваниями. Обычно такие изменения приводят к снижению выработки инсулина и других ферментов, что может способствовать развитию диабета и расстройств пищеварения.
Важно отметить, что симптомы могут быть слабо выражены, поэтому регулярные медицинские обследования имеют ключевое значение для своевременной диагностики и предотвращения серьезных осложнений. При наличии подозрений на дегенерацию поджелудочной железы необходимо обратиться к врачу для прохождения необходимых исследований и установки диагноза.
Диффузные изменения поджелудочной железы
Диффузные изменения в поджелудочной железе у мужчин и женщин не представляют собой отдельное заболевание, а являются признаком того, что в тканях органа происходят определенные преобразования, влияющие на его структуру или функции. Под диффузностью подразумевается равномерное распространение изменений по всей железе, в отличие от локализованных изменений, таких как опухоли или кисты. Важно отметить, что наличие таких изменений не всегда указывает на заболевание. Тем не менее, при отсутствии надлежащего внимания или лечения они могут способствовать развитию серьезных заболеваний этого органа. Поэтому при их обнаружении рекомендуется обратиться к врачу для определения причины, оценки состояния здоровья и, при необходимости, назначения лечения или корректировки образа жизни.
Наиболее часто изменения связаны с воспалительными процессами, которые могут быть как острыми, так и хроническими. Воспаление нарушает привычное функционирование органа. Кроме того, причины могут заключаться и в обменных нарушениях, например, связанных с диабетом, или в дистрофических изменениях тканей органа.
Некоторые проблемы могут возникнуть вследствие заболеваний других органов пищеварительного тракта, таких как печень или желчный пузырь. В процессе обследования специалисты могут констатировать изменения в структуре поджелудочной железы. Это может свидетельствовать о повреждении органа или о наличии воспалительных или иных патологических процессов. Такие изменения требуют дальнейшей диагностики и, в большинстве случаев, лечения для восстановления нормального состояния органа.
Диффузные изменения поджелудочной железы: симптомы
- Изменение размера органа.
- Неравномерное увеличение желчных протоков.
- Неоднородная структура тканей в отдельных участках.
Пациенты обычно жалуются на:
- Боли или чувство тяжести под ребрами, чаще слева.
- Потерю аппетита.
- Дискомфорт в области желудка.
- Горькую отрыжку и изжогу.
- Головные боли.
- Запоры или диарею.
При остром панкреатите могут также наблюдаться учащенное сердцебиение и пониженное артериальное давление.
Интересно, что небольшие изменения иногда не проявляются симптомами и не беспокоят пациента.
Тем не менее, если патологические изменения не будут устранены, это может привести к серьезным нарушениям пищеварения, хроническому панкреатиту или другим осложнениям. Все зависит от причины, вызвавшей изменения, стадии заболевания и скорости его прогрессирования.
Основные симптомы заболеваний поджелудочной железы
Существует множество признаков заболеваний поджелудочной железы, которые различаются в зависимости от типа болезни и ее степени. Однако специалисты выделяют несколько основных клинических проявлений, указывающих на поражение этого органа.
К основным симптомам заболеваний поджелудочной железы у мужчин и женщин можно отнести:
- Сильные острые боли в области левого подреберья. Болевые ощущения могут иррадиировать в лопатку, спину и грудину. Продолжительность боли может варьироваться от нескольких часов до нескольких дней. Если воспаление затрагивает желчный пузырь, боль может распространяться и в верхнюю часть живота. Боль усиливается при пальпации и при нагревании пораженной области.
- Нарушения обмена веществ, возникающие в результате гибели здоровых клеток органа, что снижает выработку ферментов, необходимых для пищеварения. Это может привести к развитию сахарного диабета и других гормональных нарушений.
- Тошнота, рвота и острые формы диареи часто наблюдаются у пациентов с нарушениями поджелудочной железы. Начинается все с вздутия живота и частой отрыжки, затем может возникнуть метеоризм. Возможен рост температуры тела.
- Высыпания на коже в области груди, спины и живота. Сыпь проявляется в виде небольших красных пятен, возникающих в результате разрыва капилляров.
- Усиление болей в животе и подреберье после еды. Обычно пациенты для уменьшения болей начинают питаться реже, что ведет к потере веса и снижению защитных функций организма. Это может привести к тяжелой форме гиповитаминоза, негативно влияющего на состояние волос, кожи и ногтей.
При обнаружении первых признаков заболевания следует незамедлительно обратиться к специалисту. Врач проведет опрос, осмотр и диагностику, после чего назначит соответствующее лечение. Затягивать с визитом к врачу не стоит, поскольку недуг может привести к серьезным осложнениям.
Своевременная диагностика болезни и правильно подобранная терапия, а также сбалансированное питание могут помочь устранить воспалительный процесс в поджелудочной железе, нормализовать ее функционирование и избежать хирургического вмешательства как одного из радикальных методов лечения.
Панкреатит – заболевание поджелудочной железы: симптомы заболевания у мужчин и женщин
Панкреатит представляет собой воспаление тканей поджелудочной железы, которое приводит к нарушению оттока органической секреции. Проблема возникает из-за чрезмерной активности ферментов, когда секрет не успевает выводиться в двенадцатиперстную кишку и начинает переваривать собственные ткани железы.
По данным Всемирной организации здравоохранения, количество случаев панкреатита возросло несколько раз. Основными факторами этого являются неправильное питание и злоупотребление алкоголем.
Врачи различают две формы панкреатита: острую и хроническую. Первая форма требует срочной госпитализации и лечения в стационаре под наблюдением медиков.
Основные симптомы острого панкреатита у мужчин и женщин:
- Появление изменений цвета кожи – она становится тусклой и приобретает землистый оттенок. В области поясницы и над пупком могут появляться синяки или коричневые пятна. Некоторые пациенты также сообщают о механической желтухе.
- Острая боль в подреберье – боль может охватывать всю область или локализоваться только с одной стороны.
- Нарушения работы пищеварительного тракта – икота, отрыжка с неприятным запахом, тошнота, непрекращающаяся рвота, запоры и диарея.
- Общее ухудшение состояния здоровья – обезвоживание, сухость во рту, значительная слабость, апатия. Артериальное давление может колебаться, Возможны потливость, одышка и повышение температуры.
Признаки хронического панкреатита
Симптомы хронического панкреатита менее выражены. Специалисты выделяют следующие признаки данного состояния:
- Изменения цвета кожи – желтушность.
- Резкая потеря веса в запущенных случаях.
- Развитие серьезных заболеваний и нарушения пищеварительного процесса – анемия, сахарный диабет, запоры или диарея.
- Боли после еды. Чаще всего дискомфорт возникает после употребления жирных или жареных блюд, а также большого количества алкогольных напитков. Боли ощущаются в области подреберья.
- Нарушения работы желудочно-кишечного тракта – метеоризм, запоры, отрыжка с неприятным запахом.
На ранних этапах выявить заболевание практически невозможно без вмешательства профессионала, так как хроническая форма может протекать без явных симптомов.
Панкреатит поджелудочной железы редко проявляется как самостоятельное заболевание. Он чаще всего затрагивает несколько органов пищеварительной системы, включая печень, желчный пузырь, двенадцатиперстную кишку и желудок. Это обстоятельство требует комплексной диагностики всей пищеварительной системы пациента.
Стадии хронического панкреатита
Хронический панкреатит в начальной стадии часто остается незамеченным. Тяжесть в области желудка, сопровождаемая тошнотой, рвотой и периодической болью, может быть характерной для множества заболеваний желудочно-кишечного тракта. Начальная стадия панкреатита может длиться до десяти лет, после чего болезнь начинает прогрессировать:
- боли становятся менее интенсивными;
- тошнота, отрыжка и вздутие усиливаются;
- стул становится кашицеобразным и обильным;
- наблюдается потеря веса.
Эти симптомы свидетельствуют о том, что всасывание витаминов и питательных веществ затруднено. Причина подобного состояния заключается в нехватке ферментов, участвующих в пищеварении. На поздних стадиях заболевание проявляется своими осложнениями:
- тромбирование селезеночной вены;
- образование кист в железе;
- сахарный диабет;
- инфекции.
Лечение хронического панкреатита в данном случае направлено на поддержание функций поджелудочной железы и устранение осложнений. На этой стадии боли могут изменять свою локализацию и интенсивность, чаще всего появляются примерно через 30 минут после приема пищи. Заметными становятся также симптомы диспепсии.
Симптомы
На начальной стадии заболевания пациенты могут испытывать сильные тянущие, сверлящие или ноющие боли. Эти боли могут длиться от нескольких часов до нескольких суток и обычно усиливаются в лежачем положении, но уменьшаются при наклоне. Болезненные ощущения редко бывают одиночными и могут сопровождаться тошнотой и тяжестью в животе. С прогрессированием болезни гибнет большинство клеток-панкреатоцитов, что затрудняет синтез пищеварительных ферментов. Чем запущенней хронический панкреатит, тем более явные признаки утраты функциональности органа:
- расстройства стула, метеоризм, отрыжка;
- потеря аппетита;
- желтушный оттенок кожи;
- потемнение урины, обесцвечивание каловых масс;
Причины и подходы к терапии хронического панкреатита
Этиология
Воспалительные процессы и дегенеративные изменения в поджелудочной железе зачастую возникают в результате чрезмерного употребления алкоголя, неправильного питания и переедания. У 56 % больных этот недуг спровоцирован заболеваниями желчевыводящих путей и желчнокаменной болезнью, а у 16 % — язвой двенадцатиперстной кишки и дуоденитом. К факторам, способствующим прогрессированию расстройства, можно отнести:
- метаболические расстройства;
- инфекционные заболевания;
- острые интоксикации;
- муковисцидоз;
- пороки развития поджелудочной железы.
У 5 % пациентов заболевание имеет наследственный характер. В группу повышенного риска входят люди:
- перенесшие гепатит, дизентерию или паротит;
- с гнойно-воспалительными процессами в брюшной полости;
- страдающие от избыточного веса.
Поэтому для начала терапии хронического панкреатита важно провести тщательную диагностику, чтобы выяснить причинный фактор, что позволяет уменьшить его влияние и подобрать оптимальные методы лечения.
К какому специалисту следует обратиться?
При периодическом появлении дискомфорта и сильной боли в области эпигастрия, а также при наличии сильной тошноты, завершающейся рвотой, необходимо незамедлительно обратиться за медицинской помощью. Подобные симптомы могут указывать на разнообразные заболевания внутренностей, включая панкреатит. Точный диагноз сможет установить только:
Этот специалист занимается диагностикой и лечением заболеваний пищеварительной системы, включая хронический панкреатит. Во время приема он:
- выяснит жалобы пациента;
- проведет пальпацию живота;
- назначит необходимые лабораторные и инструментальные исследования.
Выявить, что именно беспокоит пациента — панкреатит, дуоденит или язвенная болезнь — врач сможет только после анализа анамнеза и результатов тщательных обследований крови и мочи, а также органов брюшной полости. Явными признаками панкреатита являются отклонения в уровнях:
- альфа-амилазы в крови и моче;
- липазы и фосфолипазы;
- трипсина.
Глюкозотолерантный тест позволит выявить нарушение углеводного обмена, а копрограмма выявит нерегулярности в процессе пищеварения. Инструментальные методы исследования помогут обнаружить изменения в размерах, контуре и структуре поджелудочной железы, а Выявить болезнь или ее осложнения.
Тактика лечения
Терапия воспалительных заболеваний поджелудочной железы предполагает строгую диету. Чтобы уменьшить секрецию ферментов в момент обострения недуга, пациенту рекомендовано голодание на 2-3 дня с обильным питьем. Рекомендуется прикладывать лед к области живота. После того, как боль ослабнет, можно начинать есть.
Питание должно быть регулярным, дробным и частым. Необходимо исключить продукты, богатые жирами и органическими кислотами. Еда должна быть приготовлена на пару или отварена, в мягком виде. Одновременно пациенту назначают:
- противовоспалительные нестероидные препараты;
- спазмолитики;
- средства, регулирующие выработку желудочного сока;
- лекарства для нормализации синтеза ферментов;
- блокаторы гистамина и протонного насоса.
Комплексный подход к лечению приводит к уменьшению проявлений хронического панкреатита и замедлению прогрессирования болезни. Также назначаются антибактериальные препараты для предотвращения инфекционных осложнений. Если положительная динамика отсутствует, а боль невозможно купировать, и выявляются сопутствующие патологии, такие как желчнокаменная болезнь или новообразования, может потребоваться хирургическое вмешательство.
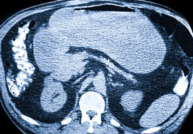
Признаки инволютивных изменений поджелудочной на КТ

Сокращение размеров органа (стрелки) на фоне дистрофических процессов
Затяжные патологические процессы в поджелудочной железе, особенно без должного лечения и коррекции образа жизни, приводят к инволютивным изменениям. Уменьшение органа в размерах, вызванное склерозом или фиброзом, сопровождается потерей его функций и может привести к прогрессированию сахарного диабета и панкреатита с недостаточностью экзокринной и эндокринной функций. На компьютерной томографии это проявляется снижением степени четкости изображения и неоднородной структурой.
У большинства пожилых людей инволютивные изменения затрагивают не только сам орган, но и его протоки. Исследования демонстрируют, что с возрастом объем железы уменьшается. На КТ можно обнаружить признаки стеатоза и хронического панкреатита. В связи с этом риск развития сахарного диабета у данной группы возрастает.

Явная атрофия поджелудочной железы на фоне диабета — орган визуализируется как тонкая линия, рядом с которой может быть обнаружена опухоль антрального отдела желудка.
- отказ от вредных привычек;
- сбалансированное питание с ограничением углеводов и жиров;
- увеличение физической активности;
- прием медикаментов для улучшения работы железы или способствующих ее восстановлению.
Системные меры позволяют замедлить развитие необратимых состояний, связанных с нарушением ферментной функции.
УЗИ и КТ при изменениях поджелудочной

Выбор метода визуализации определяется основным заболеванием.
Структурные изменения в поджелудочной железе, связанные с нарушением обменных процессов, можно отслеживать с помощью УЗИ и биохимии крови, при условии, что диагноз не вызывает сомнений. УЗИ является доступным и недорогим методом, не имеющим серьезных противопоказаний и не обладающим радиационным воздействием. В рутинных ситуациях, при хронических недугах поджелудочной, отсутствии ярких симптомов и необратимой боли — проведение УЗИ 1-2 раза в год достаточно для отслеживания динамики.
Компьютернаятомография, обеспечивающая трехмерные изображения исследуемой области, обладает высокой информативностью благодаря увеличенной чувствительности и специфичности. Однако ионизирующее излучение ограничивает применение КТ как повседневной практики.
Если требуется тщательная оценка желчного протока и его ответвлений, а также различение доброкачественных и злокачественных образований поджелудочной и желчного пузыря, стоит рассмотреть магнитно-резонансную холангиопанкреатографию — МРХПГ. К числу противопоказаний относятся наличие в теле имплантированных медицинских устройств и металлических элементов.
В диагностическом центре “Магнит” в Санкт-Петербурге доступно компьютерно-томографическое обследование на аппаратах экспертного класса. Мультиспиральный 16-срезовой аппарат Siemens позволяет снизить лучевую нагрузку в зависимости от целей сканирования и помогает установить диагноз даже в самых сложных ситуациях. Максимальный вес пациента составляет 150 кг.
