При цистите у женщин рекомендуется проводить ультразвуковое исследование органов брюшной полости и малого таза. Это обследование позволяет оценить состояние моч Bladder, выявить возможные патологии, такие как опухоли или камни, и исключить другие заболевания, которые могут вызывать схожую симптоматику.
УЗИ мочевого пузыря обычно выполняется в наполненном состоянии, что помогает более детально визуализировать его стенки и обеспечить правильную диагностику. Если необходимо, врач может также рекомендовать дополнительные методы визуализации для более тщательного обследования.
Можно ли диагностировать цистит с помощью ультразвука?

Цистит – это воспаление внутренней оболочки мочевого пузыря, которое может быть обусловлено инфекциями или другими причинами. Этот недуг чаще встречается у женщин из-за анатомических особенностей: их уретра короче и расположена ближе к анусу, что облегчает попадание бактерий. Существуют разнообразные методы диагностики этого заболевания, среди которых выделяется ультразвуковое исследование.
Основы ультразвукового исследования и его возможности
УЗИ – это надежный и безопасный диагностический метод, использующий отражение ультразвуковых волн от различных тканей организма. Данный метод обеспечивает визуализацию внутренних органов на экране и позволяет оценить их состояние. Ультразвуковое исследование при цистите может предоставить следующие сведения:
- размер, форма, толщина и подвижность стенок мочевого пузыря;
- состояние слизистой оболочки: наличие воспаления, отека, язв, полипов, конкрементов и других образований;
- количество остаточной мочи после процессов мочеиспускания;
- состояние уретры, наличие сужений, воспалительных процессов, конкрементов;
- оценка состояния почек: наличие воспаления, отека и конкрементов.
Такое обследование не создает радиационной нагрузки и может проводиться в профилактических целях.
Принципы работы ультразвукового исследования
УЗИ является безопасным методом, который не несет лучевой нагрузки на организм. Исследование основано на использовании ультразвуковых волн, которые генерируются датчиком, отражаясь от тканей и возвращаясь в приемник.
Собранная информация преобразуется в изображение, которое анализируется врачом-специалистом.
Процедура не имеет противопоказаний и никак не воздействует на здоровье. Она подходит для беременных, пожилых людей и детей. Количество исследований не ограничено и может быть назначено столько раз, сколько это требуется по клиническим показаниям.
Показания для УЗИ при цистите
УЗИ назначается, если есть подозрение на наличие камней или опухолей в мочевом пузыре, что может привести к повреждению его стенок и воспалению. Причины для назначения исследования могут включать:
- острое удержание мочи;
- наличие в моче аномальных включений;
- долгое течение цистита, плохо поддающегося антибиотикам, или наличие осложнений;
- частые болезненные позывы на мочеиспускание с небольшими объемами мочи;
- острые боли в области мочевого пузыря;
- симптомы интоксикации на фоне цистита: боли в мышцах и суставах, повышение температуры, слабость;
- инфекции в мочевыводящих путях.
УЗИ не является методом для прямой диагностики цистита, а служит для дифференциального анализа недугов, вызывающих дискомфорт и воспалительные процессы в мочевыделительной системе.
Информация, получаемая при УЗИ
Специалист на УЗИ сможет оценить размеры и состояние мочевого пузыря, уровень остаточной мочи, а также стадию заболевания. Иногда во время обследования удается выявить полипы, аномалии в строении мочевого пузыря и мочеточников, наличие повреждений его стенок. Тем не менее, исследование не охватывает матку, яичники и толстую кишку.
Залесная Наталья Евгеньевна
Залесная Наталья Евгеньевна
Должность: врач ультразвуковой диагностики
Квалификационная категория: высшая
Стаж работы по специальности: 23 года в качестве врача УЗ-диагностики высшей категории, 21 год в качестве врача функциональной диагностики и 5 лет педиатрического стажа.
Образование
1991 год — окончила Иркутский государственный медицинский институт по специальности «Педиатрия».
Интернатура по специальности «Педиатрия» в детском отделении Отделенческой клинической больницы в 1992 году.
Специализации и повышения квалификации:
1997 год, сентябрь–декабрь — первичная специализация по «Ультразвуковой диагностике в педиатрии и детской хирургии» на базе ИГИУВ, Иркутск.
1999 год, январь — февраль – тематическое усовершенствование (сертификационный цикл) «Актуальные вопросы ультразвуковой диагностики различных органов и систем», НИИ Диагностики и Хирургии МЗ РФ, Москва.
2004 год, январь – февраль — сертификационный цикл по ультразвуковой диагностике РМАПО МЗ РФ, Москва.
2007 год, май – тематическое усовершенствование «Ультразвуковая диагностика в ангиологии» РМАПО МЗ РФ, Москва.
2007 год, июнь – тематическое усовершенствование «Ультразвуковая диагностика поверхностно расположенных органов и структур» РМАПО МЗ РФ, Москва.
2009 год, февраль – сертификационный цикл по ультразвуковой диагностике ГОУ ВПО ПГМА им. акад. Е. А. Вагнера Росздрава, Пермь.
2014 год, декабрь — сертификационный цикл по ультразвуковой диагностике РМАПО МЗ РФ, Москва.
2017 год, февраль — тематическое усовершенствование «Эхокардиография» РМАПО МЗ РФ, Москва.
2017 год — повышение квалификации по программе «Актуальные вопросы ультразвуковой диагностики» ООО «Экспромед».
2018 год — повышение квалификации по программе «Актуальные вопросы ультразвуковой диагностики» ООО «Экспромед».
2019 год — повышение квалификации по программе «Ультразвуковая диагностика» АНО ДПО «Пермский институт повышения квалификации работников здравоохранения», сертификат специалиста по специальности «Ультразвуковая диагностика».
Участие в конференциях:
- 2002 год, май — участие в международной конференции по ультразвуковой диагностике в Москве, посвященной 10-летию кафедры УЗИ МРАПО МЗ РФ.
- 2003 год, апрель — участие в Невском радиологическом форуме, посвященном 300-летию Санкт-Петербурга.
- 2006 год, сентябрь — доклад на обществе эндокринологов Пермского края на тему «Ультразвуковая диагностика заболеваний щитовидной железы; новые методики».
- 2007 год, сентябрь – участие в V Съезде Российской ассоциации специалистов ультразвуковой диагностики в медицине, Москва.
- 2008 год, сентябрь – участие в XVII Российском симпозиуме по хирургической эндокринологии с международным участием.
- 2011 год, октябрь – участие в VI Съезде Российской ассоциации специалистов ультразвуковой диагностики в медицине, Москва.
- 2013 год, апрель – доклад по теме «Возможности ультразвукового метода исследования в диагностике рака щитовидной железы» на научно-практической конференции Перемского отделения Российской ассоциации специалистов ультразвуковой диагностики в медицине.
- 2013 год, октябрь – участие в III Съезде специалистов ультразвуковой диагностики Уральского федерального округа, Екатеринбург.
- 2014 год, июнь – доклад на научно-практической конференции по теме «Эхографические характеристики аутоиммунного тиреоидита».
- 2015 год, май – участие во всероссийском конгрессе лучевых диагностов и терапевтов «Радиология – 2015», Москва.
- 2017 год – участие во II Уральском конгрессе по ультразвуковой диагностике, Екатеринбург.
- 2015 год, ноябрь – участие в VII Съезде Российской ассоциации специалистов ультразвуковой диагностики в медицине, Москва.
- 2017 год – участие в IV международной конференции «Перспективные методики ультразвуковой диагностики» в Москве.
- 2018 год – участие в VIII всероссийском национальном конгрессе лучевых диагностов и терапевтов «Радиология – 2018», Москва.
- 2018 год – участие в III Уральском конгрессе по ультразвуковой диагностике, Екатеринбург.
- 2019 год – участие в VIII Съезде Российской ассоциации специалистов ультразвуковой диагностики в медицине, Москва.
- Член Российской ассоциации специалистов ультразвуковой диагностики в медицине с 2002 года.
- Член Европейской ассоциации ультразвуковой диагностики в биологии и медицине с 2007 года.
Научно-практическая деятельность.
Занимается научной и практической работой по теме «Эндемического зоба и АИТ в Пермском регионе», сочетая в своей деятельности ультразвуковые методики, лабораторные методы, данные пункционных биопсий, операций, цитологии и гистологии.
Трудовая деятельность:
- 1992 — 1995 гг. — ОКБ, Иркутск — участковый педиатр;
- 1997 — 1998 гг. — ПГДБ — врач УЗД;
- 1998 — 2001 гг. — МСЧ № 133 — врач функциональной диагностики и УЗД;
- 2001 год — МСЧ № 11, Пермь — врач УЗД;
- 2002 — 2009 гг. — ООО Медицинская компания “УралМед” — врач УЗД;
- 2009 — 2011 гг. — ООО Клиника “Надежда” — врач УЗД;
- с марта 2011 года и по настоящее время — ООО “КДЦ “Профимед” — врач УЗД.
Публикации Залесной Натальи Евгеньевны
- «Оценка эффективности массовой профилактики йоддефицитного зоба в Пермском регионе»; Материалы IV Всероссийского тиреоидологического конгресса, 9–11 декабря 2007г., Москва.
- «Динамика сонографической картины щитовидной железы при лечении гипотиреоза у больных аутоиммунным тиреоидитом»; Материалы XVII Российского Национального конгресса «Человек и лекарства», 12-16 апреля 2009г., Москва.
- «Клинико — сонографическое выявление рака щитовидной железы»; материалы IV Международной научной конференции «Онкология – XXI век», Хошимин, Вьетнам, 27.04.2009 – 07.05.2009гг.
- «Как йодная профилактика влияет на активность аутоиммунного тиреоидита в период беременности»; журнал «Акушерство и гинекология», № 1, 2014 г.
- «Эхографические изменения щитовидной железы при аутоиммунном тиреоидите: характеристики и динамика наблюдений в течение нескольких лет», конференция, Брюссель, Бельгия, апрель 2014 г.





Наталья Залесная, специалист по ультразвуковой диагностике: «За день до процедуры постарайтесь исключить из рациона продукты, способствующие образованию газов. В день исследования рекомендуется за час до УЗИ выпить 750–1000 мл воды без газов и удержаться от посещения туалета до завершения диагностики».
Методы УЗИ мочевого пузыря:
- Трансабдоминальный — он прост и удобен, осмотр проводится через переднюю стенку живота.
- Трансректальный — применяется преимущественно для мужчин, при этом исследование выполняется через прямую кишку, что позволяет дополнительно осмотреть простату из-за возможных сопутствующих заболеваний.
- Транвагинальный — исследование осуществляется через влагалище, что предоставляет возможность оценить состояние половых органов на наличие воспалительных процессов.
- Трансуретральный — этот метод менее распространён, используется для диагностики перед хирургическими манипуляциями.
Для выявления цистита чаще всего применяется трансабдоминальный метод, при котором пациент располагается на спине. Врач использует специальный гель и проводит осмотр с помощью ультразвукового аппарата в течение 15 минут.
Показания к УЗИ мочевого пузыря
Рассмотрим ключевые показания, при которых врач может назначить УЗИ мочевого пузыря:
- Проблемы с мочеиспусканием. УЗИ может быть рекомендовано при затруднениях, болях или учащении мочеиспускания, чтобы определить наличие воспалительных процессов или препятствий для оттока мочи.
- Подозрение на цистит. Симптомы, такие как жжение, боли в нижней части живота, мутная моча или гематурия (наличие крови в моче), могут стать основанием для УЗИ, позволяя оценить состояние стенок пузыря и исключить другие патологии.
- Гематурия. Кровь в моче может возникать из-за камней, опухолей, инфекций или травм. УЗИ помогает быстро определить источник кровотечения и в некоторых случаях выбрать дальнейший метод обследования (например, КТ).
- Подозрение на мочекаменную болезнь. Обычно камни в мочевом пузыре обнаруживаются случайно, так как заболевание может долго протекать бессимптомно. В некоторых случаях оно проявляется болями внизу живота или частыми инфекциями мочевыводящих путей.
- Подозрение на новообразования или полипы;
- Травмы органов в области таза;
- Оценка состояния после хирургических вмешательств;
- Аденома простаты — как плановое обследование для мужчин.
Регулярное проведение УЗИ мочевого пузыря рекомендуется пациентам с высоким риском урологических заболеваний. В эту категорию входят люди с диабетом, неврологическими проблемами, историей рака и перенесёнными инфекциями мочевых путей.
Подготовка к УЗ-диагностике мочевого пузыря
Качество УЗИ мочевого пузыря сильно зависит от правильной подготовки пациента. Основные рекомендации включают:
- Избегать употребления алкоголя и жирной пищи перед исследованием;
- Сообщить врачу о хронических заболеваниях, а также о приеме мочегонных средств, спазмолитиков и других препаратов, влияющих на мочеиспускание;
- При необходимости взять с собой результаты прошлых УЗИ.
Подготовительные мероприятия могут варьироваться в зависимости от вида УЗИ — трансабдоминального, трансректального или трансвагинального. Далее рассмотрим особенности подготовки для каждого из этих методов.
Подготовка к трансабдоминальному УЗИ
- Не мочиться в течение 2-3 часов до обследования.
- Выпить 1-1,5 литра жидкости за 1-1,5 часа до процедуры.
- Не есть тяжёлую пищу за 8-10 часов до УЗИ.
Если есть склонность к метеоризму, рекомендуется за 1–2 дня до процедуры ограничить в рационе бобовые, капусту, выпечку и сладости. В некоторых случаях врач может назначить препараты для снижения газообразования.
Подготовка к трансректальному УЗИ
- Очистительная клизма — вечером накануне или утром в день исследования.
- Полный мочевой пузырь — пить 1–1,5 литра воды за час до УЗИ.
- Не использовать кремы и мази в области промежности.
Подготовка к трансвагинальному УЗИ
- Очистить мочевой пузырь.
- Соблюдать интимную гигиену.
- Выбрать подходящий день цикла — желательно 5–7 день менструального цикла.
- Половые контакты в день обследования лучше избегать;
- При обильных менструациях или кровотечениях исследование может быть отложено;
- Если есть беременность, обязательно сообщите врачу.
Подготовка детей
Для грудных детей и малышей исследование обычно проводят без особой подготовки или просят родителей напоить ребенка за 30-40 минут до процедуры, чтобы мочевой пузырь наполнился. Старшим детям дают пить воду и просят удержаться от мочеиспускания до завершения обследования.
УЗИ мочевого пузыря при цистите
В случае неосложненного воспалительного процесса врач может обойтись без УЗИ — достаточно улучшения состояния пациента и нормализации анализов мочи после антибактериальной терапии. Однако показаниями к УЗИ при цистите являются рецидивы заболевания, отсутствие положительной реакции на лечение и подозрение на патологии, поддерживающие воспаление:
- Существование инородного тела;
- Лейкоплакия;
- Эндометриоз;
- Камни;
- Дивертикулы и прочее.
При обследовании через сонографию могут обнаруживаться неравномерные утолщения стенок, отек, воспалительные кисты.
Расшифровка результатов

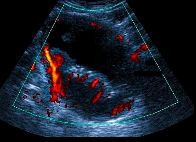
Злокачественное образование, напоминающее цветную капусту в мочевом пузыре с развитой сосудистой сетью, что может быть выявлено при допплерографии.
Интерпретацией результатов занимается врач-сонолог, который проводил исследование. Для дифференциации нормальных значений от патологий важны:
- Форма;
- Объем;
- Контуры органа;
- Толщина стенок;
- Наличие очагов, включений, динамика изменений после смены положения пациента;
- Количество оставшейся мочи после мочеиспускания;
- УЗ-характеристики жидкости.
В нормальном состоянии форма и объем мочевого пузыря индивидуальны и зависят от пола, возраста и личных особенностей пациента. Объем остаточной мочи не должен превышать 30-50 мл, а толщина стенок — быть более 4 мм, без локальных дефектов.
В Санкт-Петербурге в диагностическом центре “Магнит” УЗИ органов брюшной полости и малого таза выполняется на современном оборудовании экспертного класса. Доступны различные режимы сканирования, включая УЗДГ. Мы рады вас видеть и готовы помочь!
