Киста на печени обычно не вызывает ощущения, что в правом боку что-то шевелится. Однако, некоторые пациенты могут испытывать дискомфорт или давление в области печени, что может быть связано с увеличением кисты или ее воздействием на окружающие ткани.
Если ощущения продолжаются или вызывают тревогу, рекомендуется обратиться к врачу для полного обследования. Это поможет исключить другие возможные причины и обеспечить правильный диагноз и лечение.
- Кисты на печени обычно являются безболезненными образованиями и редко вызывают симптомы.
- В некоторых случаях большие кисты могут давить на соседние органы, вызывать дискомфорт или ощущение полноты.
- Ощущение «шевеления» в правом боку может быть связано с другими заболеваниями, включая гастрит или проблемы с желчным пузырем.
- Важно проконсультироваться с врачом для исключения серьезных патологий и уточнения диагноза.
- УЗИ или КТ органов брюшной полости могут помочь определить наличие кисты и её размеры.
Может ли киста на печенидавать ощущения что в правом боку что то шевелится
Благодарим вас, мы свяжемся с вами в течение одного часа в рабочие часы (с 8 до 21 по Московскому времени).

Данный документ, именуемый Пользовательским соглашением, является открытым источником информации от администрации сайта www.puchkovk.ru (в дальнейшем – Администратор) и регулирует условия использования ресурса посетителями (в дальнейшем — Посетитель), а также порядок обработки, хранения и применения данных, которые Администратор получает от Посетителя на своем сайте. Администратор оставляет за собой право в любой момент внести изменения в условия данного Пользовательского соглашения без предварительного уведомления Посетителей.

- Посетитель, предоставляющий какие-либо данные, относящиеся к определенному или идентифицируемому индивиду (далее – Персональные данные), подтверждает, что он ознакомлен с условиями данного Пользовательского соглашения и принимает их.
- Предоставляя свои Персональные данные, Посетитель тем самым дает Администратору полное согласие на их обработку.
- Администратор обязуется гарантировать, что обработка и хранение Персональных данных будут производиться согласно Федеральному закону от 27.06.2006 № 152-ФЗ «О персональных данных».
- Посетитель осознает и принимает, что передача информации Администратору, не касающейся функционирования сайта, запрещена. К такой информации относится информация о здоровье, личной жизни, национальности, религиозных и политических взглядах Посетителя, а также любая конфиденциальная информация, включая банковскую.
- Администратор обязуется использовать Персональные данные только в рамках маркетинговых, рекламных и информационных целей, а также для анализа поведения и интересов пользователей сайта, с целью предоставления товаров и услуг, доступных на сайте.
- В соответствии с частью 1 статьи 18 Федерального закона «О рекламе», Посетитель разрешает Администратору отправлять ему сообщения рекламного характера по предоставленным им контактам.
- Посетитель несет ответственность за соблюдение законодательства при работе с сайтом Администратора.
- Администратор не несет ответственности за любые правонарушения, совершенные Посетителем, и не гарантирует, что содержание сайта будет соответствовать его ожиданиям.
- Посетитель несет ответственность за любые нарушения прав и законных интересов третьих лиц во время использования сайта.
- Администратор вправе ограничить доступ к сайту для Посетителя в случае наличия законных оснований.
- Гинекология
Как эксперт в области медицины, я хотел бы отметить, что кисты на печени достаточно часто являются бесп Symptoms are difficulty persisting. Однако, в некоторых случаях они могут приводить к различным ощущениям в правом боку. У пациента может возникнуть чувство, что в этой области что-то шевелится, хотя это ощущение не всегда связано непосредственно с самой кистой.
Это может быть связано с тем, что киста, увеличиваясь в размере, может давить на окружающие ткани и органы, что провоцирует дискомфорт или болезненные ощущения. В некоторых случаях пациенты могут интерпретировать эти ощущения как «шевеление». Однако важно понимать, что такие симптомы также могут возникать из-за других органов, находящихся в правом подреберье, таких как желчный пузырь или кишечник.
Также не следует забывать о возможных психосоматических факторах. При наличии кисты у человека могут возникнуть тревога и беспокойство, что может усиливать восприятие физических ощущений. Важно провести полное обследование и получить консультацию врача, чтобы исключить другие потенциальные причины таких ощущений и правильно оценить состояние здоровья.
Получил почетную награду «Золотой лапароскоп» как ведущий лапароскопический хирург в России.

Награждён знаком «Золотая звезда» за значительный вклад в развитие оперативной гинекологии и эндоскопической хирургии.

Награждён медалью имени А.П. Чехова за выдающиеся профессионаые успехи и преданность врачебному призванию.

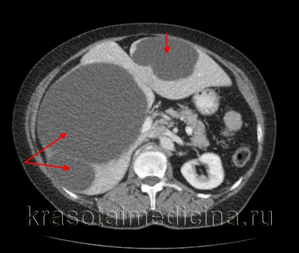
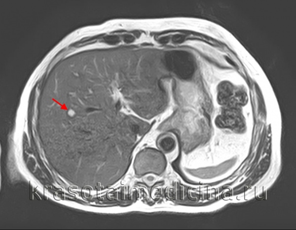
Причины образования кисты печени
Причины образования простых однокамерных кист остаются не полностью раскрытыми. Появление кистозных полостей может обусловливаться нарушением эмбрионального развития желчных путей.
Некоторые типы кист могут указывать на серьезные патологии:
- поликистоз печени — унаследованное расстройство, часто встречающееся в комплексе с поликистозом почек;
- эхинококкоз — инфекционное заболевание, при котором в органах формируются пустоты с личинками гельминтов;
- раковые образования и метастазирование из других анатомических областей (яичников, толстой кишки, поджелудочной железы). В редких случаях может наблюдаться развитие сквамозной карциномы.
Классификация
Кисты классифицируются следующим образом:
- врожденные — формируются в результате нарушений в процессе эмбриогенеза, представлены изолированными кистами, цистаденомами, поликистозом и дермоидными кистами;
- приобретенные (ложные) — возникают после травмы, воспалительного процесса или хирургического вмешательства.
Причины развития кист печени
На сегодняшний день точные причины формирования кистозных образований не известны. Специалисты предполагают, что истинные вродженные кисты могут возникать из желчных протоков, не имеющих связи с более крупными желчевыводящими путями. В процессе их функционирования эпителий (слизь внутри кисты) вырабатывает жидкость, что приводит к увеличению стенок образования и образованию кисты.
Ложные кисты возникают на фоне травмы, оперативного вмешательства, паразитарной инвазии или воспалительного процесса.
Опыт других людей
Анна, 30 лет, врач: «Когда я узнала о своей кисте на печени, то сначала не придавала этому значения. Но спустя время я начала ощущать странные покалывания в правом боку. Сначала думала, что это может быть связано с кистозным образованием, пока не обратилась к врачу. Специалист объяснил, что такие ощущения могут быть вызваны давлением кисты на окружающие ткани и органы. Я поняла, что мои ощущения не слишком странные, но все равно постаралась не пугаться и следить за своим состоянием.»
Игорь, 45 лет, менеджер: «У меня тоже обнаружили кисту на печени, и я стал замечать, что в правом боку как будто что-то шевелится. По началу это очень настораживало, и я думал, что это что-то серьезное. Потом понял, что это могут быть просто симптомы. Врач объяснил, что киста может вызывать дискомфорт, и я не единственный, кто сталкивается с такими ощущениями. Успокоился, но все равно продолжаю наблюдать за своим здоровьем.»
Елена, 28 лет, дизайнер: «Моя киста на печени была неожиданным диагнозом во время планового обследования. Я заметила, что в правом боку периодически возникают неприятные ощущения, которые можно было описать как шевеление. Это меня очень беспокоило, и я стала читать о кистах. Оказалось, что многие люди ощущают что-то подобное, когда киста начинает расти или давить на близлежащие органы. Я поняла, что главная задача — это регулярные обследования и контроль состояния.»
Вопросы по теме
Можно ли спутать ощущения от кисты на печени с другими заболеваниями?
Да, ощущения в правом боку могут быть вызваны не только кистами на печени, но и другими заболеваниями, такими как холецистит, остеохондроз или даже заболевания почек. Часто необходимо проводить дополнительные исследования, чтобы точно определить источник дискомфорта. Симптомы могут быть схожи, и для правильной диагностики обязательно необходимо обратиться к врачу.
Как киста на печени может воздействовать на соседние органы?
Киста на печени может оказывать давление на соседние органы, что в свою очередь может вызвать различные неприятные ощущения, включая скованность и боли в правом боку. Если киста достаточно большая, она может затруднять работу таких органов, как желудок и кишечник, что также может приводить к необычным ощущениям. Важно пройти комплексное обследование, чтобы оценить степень воздействия кисты на окружающие ткани.
Требуется ли лечение кисты на печени, если она не вызывает дискомфорта?
Лечение кисты на печени зависит от её размера, типа и наличия симптомов. Если киста маленькая и не вызывает дискомфорта или осложнений, врач может рекомендовать регулярное наблюдение без активного вмешательства. Однако важно помнить, что даже без симптомов киста может иметь потенциал для роста или изменений, поэтому регулярные УЗИ и консультации со специалистом имеют ключевое значение для мониторинга состояния.
